Servomecanismos

Estudio mexicano revela detalles inéditos del melanoma acral y su relación con el origen genético de los pacientes

Un estudio científico liderado por investigadores de la Universidad Nacional Autónoma de México (UNAM) y colaboradores internacionales ha identificado diferencias genéticas significativas en el melanoma acral, un subtipo agresivo de cáncer de piel que no está asociado a la exposición solar y representa la forma más común de melanoma en México y Latinoamérica. Los hallazgos —publicados en la revista Nature— muestran que el origen ancestral de los pacientes influye en los cambios genéticos del tumor y abre nuevas oportunidades para tratamientos más precisos


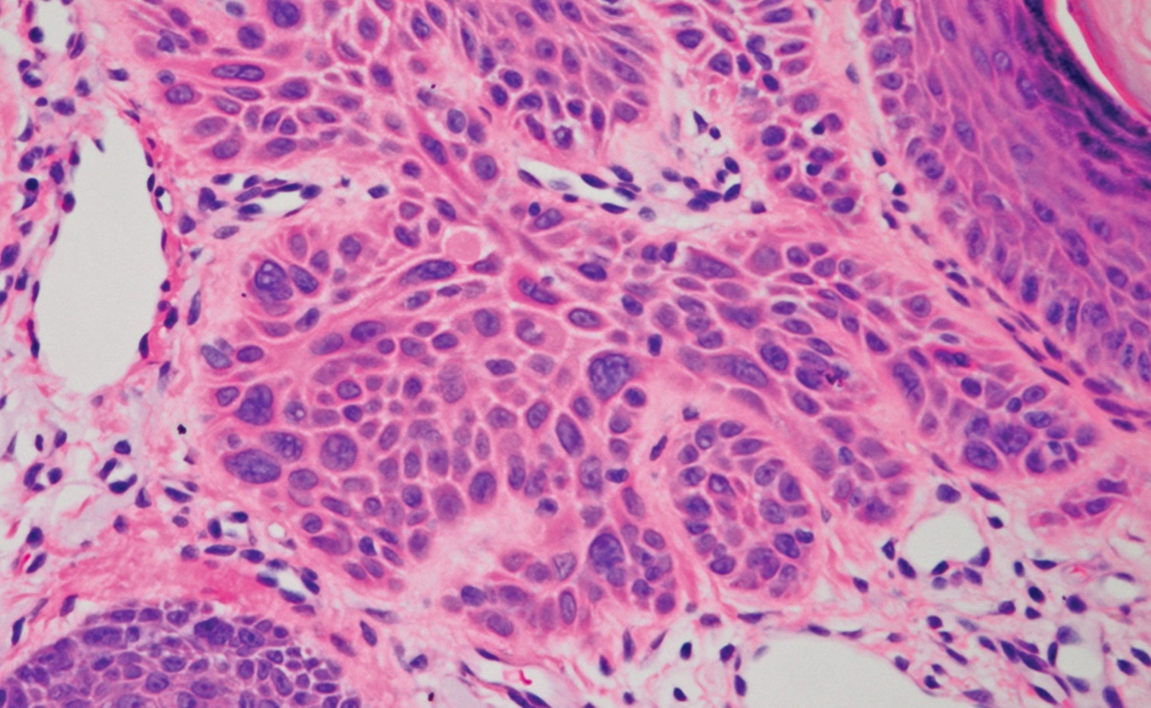
Micrografía del melanoma acral mostrando un patrón de crecimiento pigmentado en la piel de la palma de la mano, un tipo de cáncer de piel agresivo no relacionado con la exposición solar, objeto de estudio genómico por científicos mexicanos. Micrografía del melanoma acral mostrando un patrón de crecimiento pigmentado en la piel de la palma de la mano, un tipo de cáncer de piel agresivo no relacionado con la exposición solar, objeto de estudio genómico por científicos mexicanos.

7 de marzo de 2026

POR: Hiptex

Un reciente estudio genómico realizado con pacientes mexicanos diagnosticados con melanoma acral ha revelado características biológicas y moleculares que hasta ahora eran desconocidas, según datos de una investigación publicada por la UNAM en colaboración con instituciones internacionales. A diferencia de otros tipos de melanoma —que están fuertemente vinculados a la radiación ultravioleta del sol—, el melanoma acral aparece en zonas del cuerpo no expuestas a la luz solar, como las palmas de las manos, las plantas de los pies o debajo de las uñas, lo que complica su detección temprana.  

 

El análisis incluyó más de 120 tumores de 92 pacientes mexicanos, en los cuales los científicos observaron que las mutaciones genéticas varían considerablemente según el origen ancestral de cada individuo. Por ejemplo, los pacientes con mayor proporción de ancestría europea presentaron con mayor frecuencia mutaciones en el gen BRAF, para el cual existen tratamientos ya aprobados. Por otro lado, quienes tenían mayor ancestría amerindia mostraron mutaciones en genes menos estudiados, lo que podría explicar por qué las terapias convencionales resultan menos eficaces en ciertos grupos de pacientes latinoamericanos.  

 

Además, los resultados sugieren que estos tumores podrían originarse a partir de dos tipos distintos de células pigmentarias, lo que abre la puerta al desarrollo de terapias más específicas y personalizadas. Los autores también destacaron la importancia de incluir poblaciones diversas en estudios genómicos, dado que la mayoría de la investigación global en cáncer se ha centrado en poblaciones de ascendencia europea, dejando de lado a grupos como los latinoamericanos.  

 

Este avance subraya la necesidad de mejorar la representatividad en ensayos clínicos y de fomentar la ciencia colaborativa en la región, con la finalidad de reducir las brechas en el diagnóstico y tratamiento de enfermedades complejas como el melanoma acral.


TAGS

TE PUEDE INTERESAR

“El Niño Godzilla” amenaza con alterar el clima de Norteamérica en 2026

Servomecanismos 26 de mayo de 2026

Alianza histórica para desarrollar Hub de Innovación y llevar tecnología hecha en Ensenada a todo México

Servomecanismos 24 de mayo de 2026

La inteligencia artificial domina la agenda tecnológica de Estados Unidos

Servomecanismos 23 de mayo de 2026